Skip to content

Conquiste o sorriso dos seus sonhos com Invisalign!

Resultados até 50% mais rápidos, com toda a comodidade e discrição que só os aparelhos Invisalign podem oferecer. Sorria com confiança e conforto durante todo o tratamento!

O que é Invisalign?

O Invisalign é uma alternativa moderna ao aparelho ortodôntico fixo convencional, que dispensa o uso de brackets e fios metálicos. O sistema utiliza uma série de alinhadores removíveis, praticamente invisíveis, feitos sob medida para cada paciente.

Esses alinhadores são produzidos após uma análise detalhada da estrutura dentária, incluindo um mapeamento digital feito com tecnologia avançada e software especializado do nosso scanner iTero. Isso permite que todo o tratamento seja planejado de forma 100% digital, garantindo maior precisão e eficiência nos resultados.

Cada alinhador é projetado para realizar uma movimentação específica dos dentes em cada etapa do tratamento. Quando usados corretamente e em sequência, esses alinhadores levam os dentes gradativamente à posição ideal, proporcionando um sorriso alinhado com conforto e discrição.

Porque Invisalign é a melhor opção?

invisalign foto

O Invisalign é o aparelho invisível e moderno mais desejado pelos pacientes que buscam conforto e discrição. Essa técnica revolucionária permite corrigir diversos problemas de oclusão e alinhamento dentário sem a necessidade de brackets ou aparelhos fixos metálicos.

O reposicionamento dos dentes acontece por meio da troca planejada e sequencial dos alinhadores transparentes removíveis, produzidos com tecnologia 3D avançada. Eles são fabricados com o material SmartTrack, que é transparente, flexível e se adapta facilmente à sua boca, garantindo conforto e estética durante todo o tratamento.

Além disso, por ser um tratamento 100% digital, aqui na Qlinick você pode visualizar como ficará o seu sorriso antes mesmo de começar, graças à tecnologia do nosso scanner intraoral iTero, que mostra fotos da sua face com seus dentes na posição ideal, para que você saiba exatamente como será o seu sorriso ao final do tratamento.

Confortável

Não atrapalha em nada sua rotina diária!

Invisível

Não compromete a sua estética.

Rápido

Resultados visíveis em poucos meses.

Removível

Para você comer o que quiser e também para escovar os dentes!

Flexível

Nada de consultas mensais! Elas podem ser bimestrais ou trimestrais.

VAMOS AGENDAR A SUA CONSULTA?

Como funciona o tratamento Invisalign na Qlinick?

Confira 4 pontos que tornam o tratamento com Invisalign na Qlinick uma experiência única e eficaz:

1

Planejamento Digital

Cada caso é tratado e planejado de forma totalmente digital e personalizada pela nossa Invisalign Doctor, após o escaneamento preciso realizado com o nosso scanner intraoral iTero.

2

Tratamento Eficaz e Previsível

Combinando tecnologia de ponta e a expertise da nossa Invisalign Doctor, seu tratamento pode ser até 50% mais rápido em comparação aos aparelhos ortodônticos convencionais. Além disso, por ser totalmente digital, o Invisalign oferece um processo muito mais previsível e seguro, garantindo resultados eficazes e planejados.

3

Acompanhamento do Progresso

Nossa Invisalign Doctor realiza escaneamentos periódicos com o scanner intraoral iTero para acompanhar detalhadamente a evolução do seu tratamento. Utilizamos a ferramenta digital “Progress Assessment”, que permite avaliar com precisão cada etapa e garantir que tudo esteja conforme o planejado.

4

Comodidade

Graças ao planejamento digital da Qlinick e a expertise de nossa Invisalign Doctor, consultas mais espaçadas são possíveis! O que é perfeito para quem tem a vida corrida.

Conheça seu novo sorriso antes mesmo de começar o tratamento!

Chega de moldes tradicionais desconfortáveis! Aqui na Qlinick, utilizamos o scanner intraoral iTero, que realiza uma leitura até 7 vezes mais precisa do seu sorriso, tornando os alinhadores Invisalign ainda mais eficazes.

Além disso, o iTero conta com a ferramenta exclusiva “Outcome Simulator”, que gera uma simulação digital do seu tratamento. Assim, você pode visualizar exatamente como ficará seu sorriso antes mesmo de iniciar seu tratamento Invisalign!

scanner itero

Seu novo sorriso mais perto do que você imagina!

Pronto para começar?

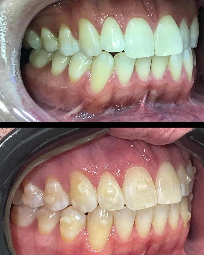
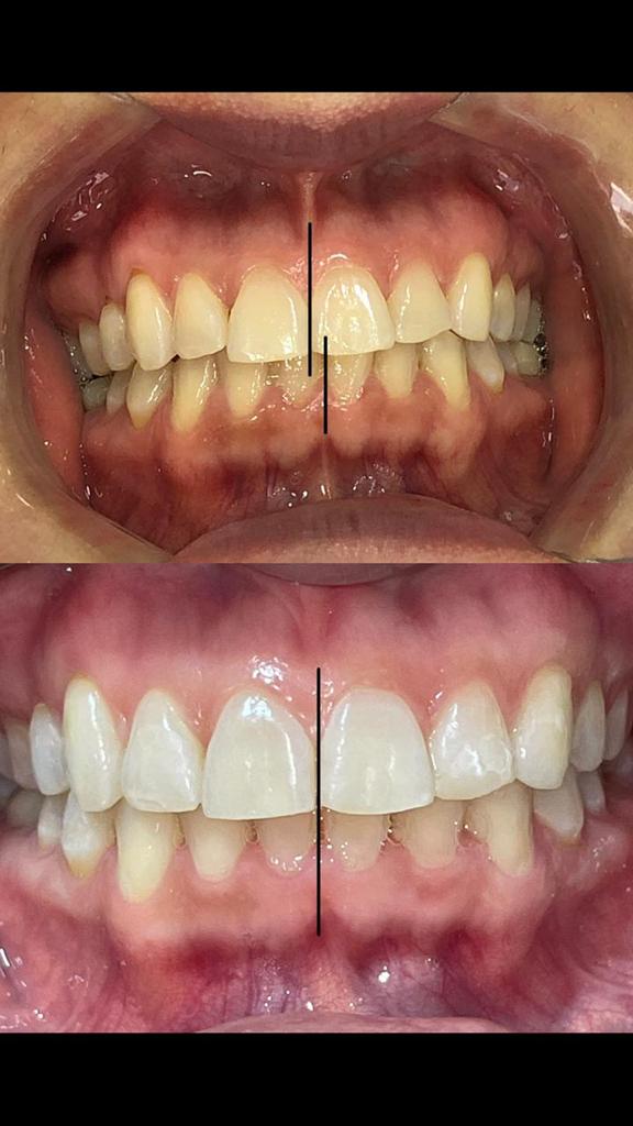
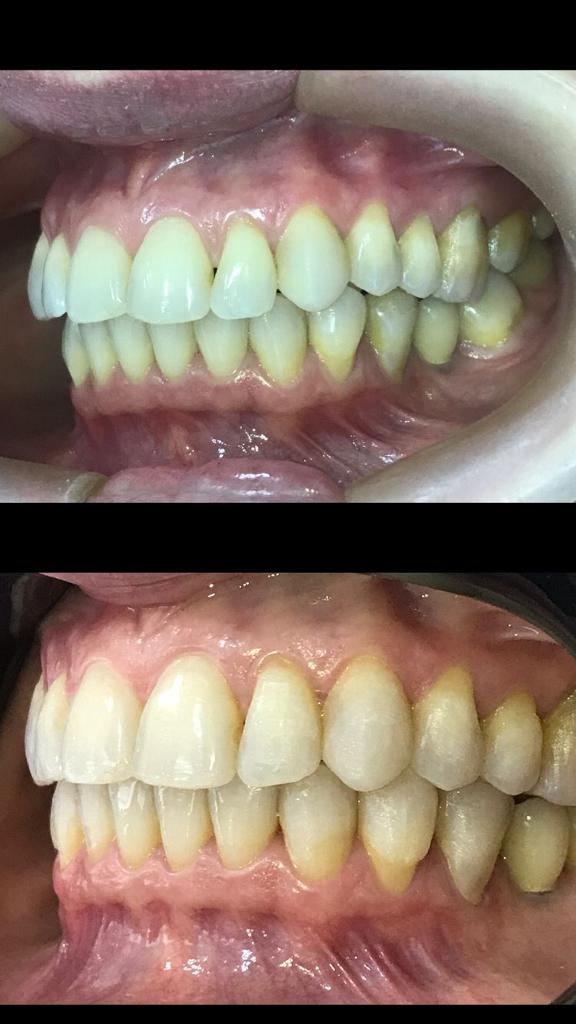
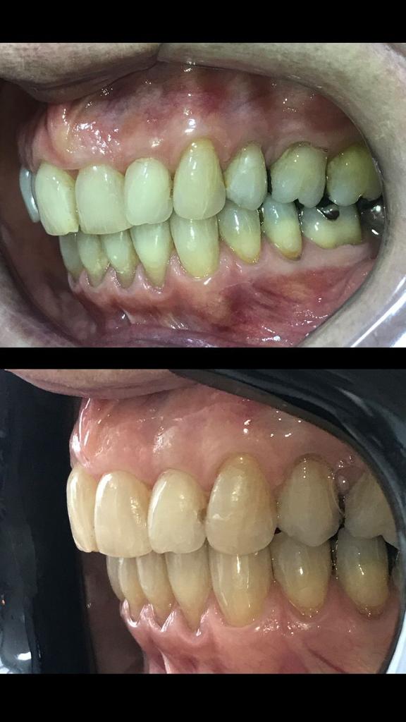
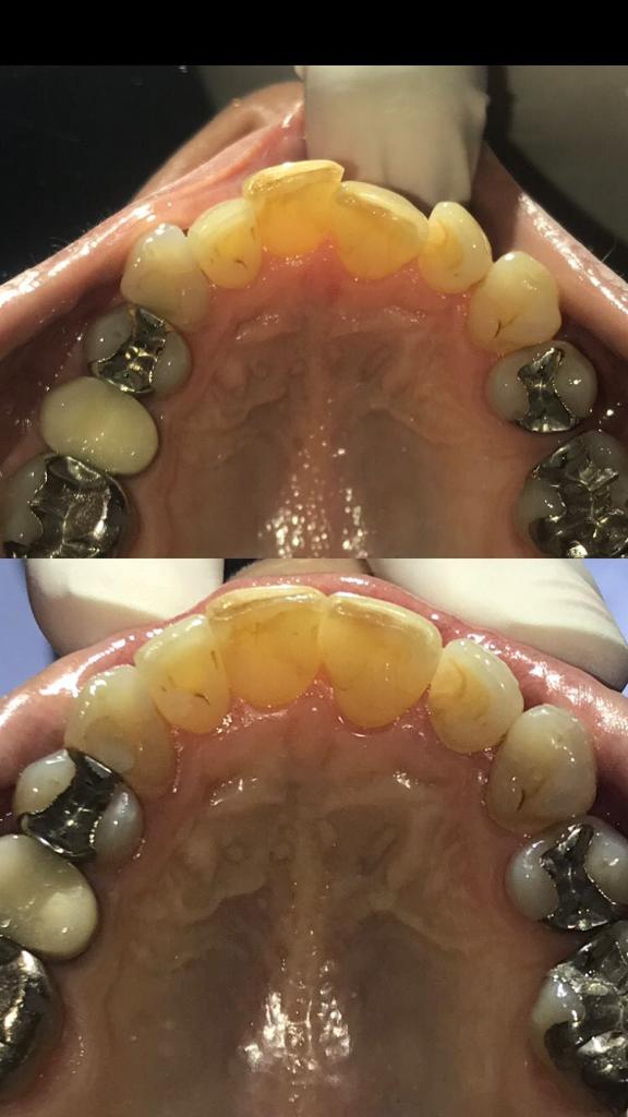
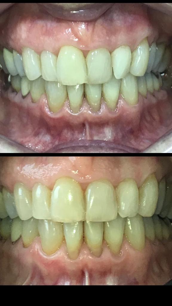
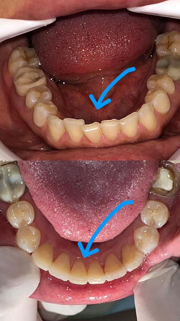
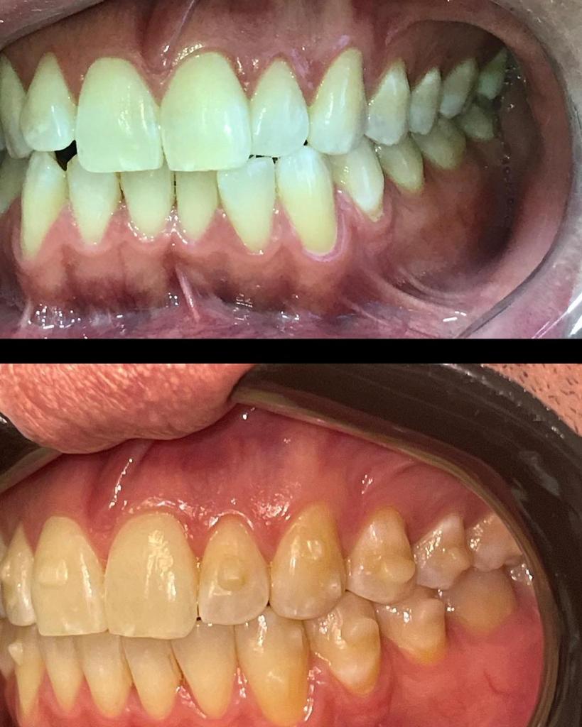
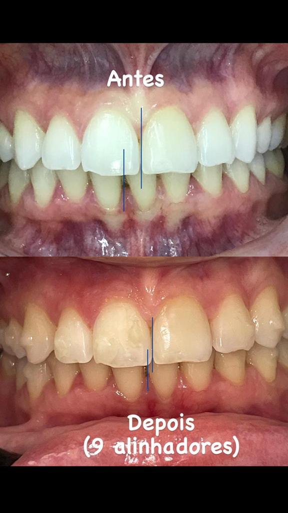
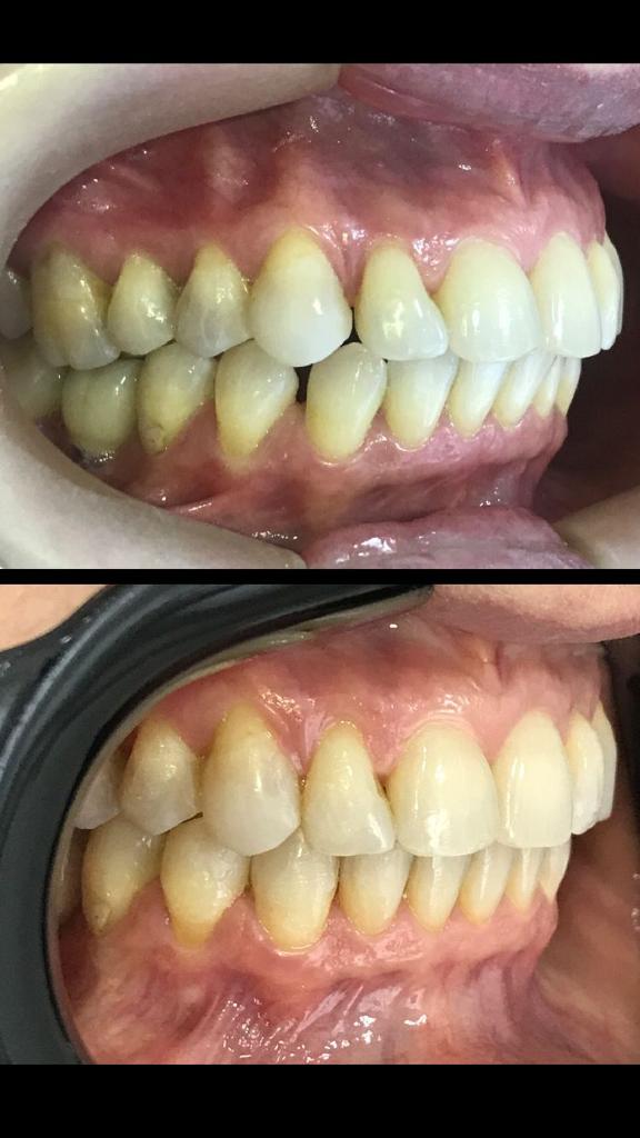
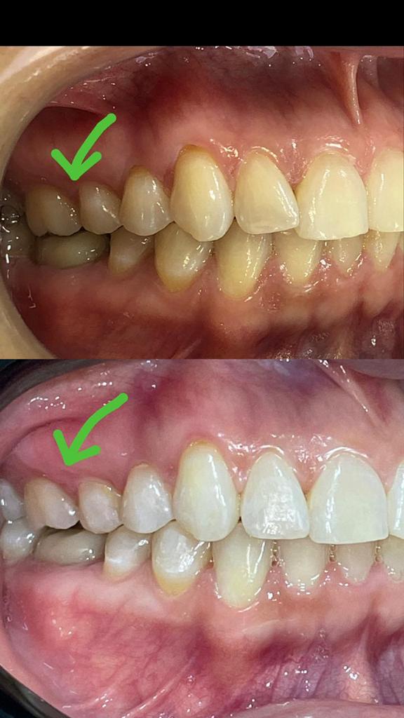
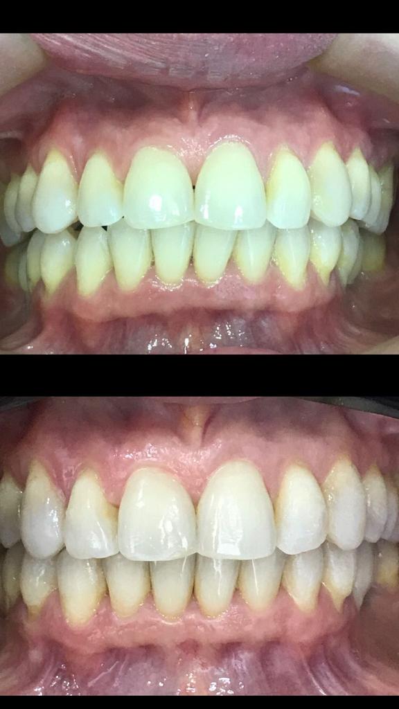
Antes e Depois

Veja a simulação do seu sorriso Invisalign em segundos.

O que falam sobre o tratamento com Invisalign na Qlinick? 

Clique no link abaixo ou escaneie o QR Code e faça uma simulação com a ferramenta Invisalign SmileView.

  • Pegue o seu telefone
  • Abra a sua câmera
  • Aponte para o QR Code
  • Tire uma selfie
  • Veja a simulação

Nossa Clínica

Nossa clínica conta com três consultórios modernos, equipados com tecnologia odontológica de última geração. Cada detalhe do projeto arquitetônico foi cuidadosamente planejado para oferecer conforto, segurança e tranquilidade, criando um ambiente agradável e acolhedor onde você se sentirá à vontade para cuidar do seu sorriso.

Se preferir, pode nos contactar através de alguma das opções abaixo.

Contato

Endereço

Horários de Funcionamento

©2025 Qlinick Odontologia. Todos os direitos reservados.